Минск, ул. Филимонова, 35
9:00-21:00 Пн.–Пт.

Клинические случаи и лечение

  • Клинический случай 1. Гнатология, ортодонтия, ортопедия Клинический случай 1. Гнатология, ортодонтия, ортопедия Клинический случай 1. Гнатология, ортодонтия, ортопедия Клинический случай 1. Гнатология, ортодонтия, ортопедия

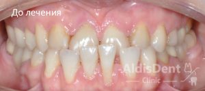
    Клинический случай 1. Гнатология, ортодонтия, ортопедия

    Пациентке планировали хирургическую операцию по исправлению прикуса. Однако комплексное лечение с применением ортодонтической системы WireLoсks решило проблему без хирургического вмешательства. По результатам гнатологической диагностики нами было принято решение о проведении комплексной ортодонтической и ортопедической реабилитации.

  • Клинический случай 2. Гнатология, ортопедия Клинический случай 2. Гнатология, ортопедия Клинический случай 2. Гнатология, ортопедия Клинический случай 2. Гнатология, ортопедия

    Клинический случай 2. Гнатология, ортопедия

    Нарушение прикуса и бруксизм долгое время не позволяли пациентке полноценно восстановить зубной ряд – зубы и протезные конструкции быстро истирались и ломались. Стандартные процедуры по лечению и протезированию не имели устойчивого успеха. В AldisDent провели

  • Клинический случай 3. Гнатология, ортопедия Клинический случай 3. Гнатология, ортопедия Клинический случай 3. Гнатология, ортопедия Клинический случай 3. Гнатология, ортопедия

    Клинический случай 3. Гнатология, ортопедия

    Гнатологический подход при тотальной реконструкции прикуса с помощью виниров и накладок (overlay) – сегодня обычное дело для стоматологического центра AldisDent. Малоинвазивный подход позволяет нам максимально сохранять ткани собственных зубов — не только живых, но и

  • Клинический случай 4. Имплантация, гнатология, ортопедия Клинический случай 4. Имплантация, гнатология, ортопедия Клинический случай 4. Имплантация, гнатология, ортопедия Клинический случай 4. Имплантация, гнатология, ортопедия

    Клинический случай 4. Имплантация, гнатология, ортопедия

    В AldisDent обратилась пациентка с запросом на восстановление методом имплантации нескольких зубов. При этом, состояние зубочелюстной системы демонстрировало явные признаки функциональных нарушений. В процессе анамнеза было установлено, что пациентка страдает хроническими головными болями. На первом

  • Клинический случай 5. Имплантация, гнатология, ортопедия Клинический случай 5. Имплантация, гнатология, ортопедия Клинический случай 5. Имплантация, гнатология, ортопедия Клинический случай 5. Имплантация, гнатология, ортопедия

    Клинический случай 5. Имплантация, гнатология, ортопедия

    Очередной «обычный» случай, когда пациенту стало понятно, что «пора что-то делать с зубами»: некрасивые пломбы, стираемость и отсутствие некоторых зубов. На консультации мы предложили пациентке в планируемой тотальной реабилитации учесть все скелетные несоответствия и решить

  • Клинический случай 6. Гнатология, имплантация, ортопедия Клинический случай 6. Гнатология, имплантация, ортопедия Клинический случай 6. Гнатология, имплантация, ортопедия Клинический случай 6. Гнатология, имплантация, ортопедия

    Клинический случай 6. Гнатология, имплантация, ортопедия

    Пациентка обратилась со сложной ситуацией: был сильно снижен прикус, недостаток зубов, затрудненное открывание рта, щелчки в ВНЧС, необходимость имплантации в условиях недостатка объема кости. Лечение заняло около 10 месяцев. Мы восстановили зубные ряды, высоту прикуса,

  • Клинический случай 7. Имплантация, гнатология, ортопедия Клинический случай 7. Имплантация, гнатология, ортопедия Клинический случай 7. Имплантация, гнатология, ортопедия Клинический случай 7. Имплантация, гнатология, ортопедия

    Клинический случай 7. Имплантация, гнатология, ортопедия

    Рассматривая красивые зубы после эстетической коррекции, которую стоматологи-ортопеды демонстрируют как результаты своей работы, мало людей задумывается, что красивая эстетика в абсолютном большинстве примеров – это на 90% результат работы зубного техника, его квалификации. И очень

  • Клинический случай 8. Имплантация, гнатология, ортопедия Клинический случай 8. Имплантация, гнатология, ортопедия Клинический случай 8. Имплантация, гнатология, ортопедия Клинический случай 8. Имплантация, гнатология, ортопедия

    Клинический случай 8. Имплантация, гнатология, ортопедия

    После безуспешных попыток добиться комфортного результата протезирования, пациентка обратилась в AldisDent. Состояние зубочелюстной системы указывало на серьезное нарушение прикуса. Было проведено аксиографическое исследование и репозиция нижней челюсти с изготовлением специальной капы для привыкания пациентки к

  • Клинический случай 9. Гнатология, эстетика Клинический случай 9. Гнатология, эстетика Клинический случай 9. Гнатология, эстетика Клинический случай 9. Гнатология, эстетика

    Клинический случай 9. Гнатология, эстетика

    Особенность клинической ситуации заключалась в сильном функциональном нарушении работы зубочелюстной системы и высокой чувствительности пациентки к любым изменениям в положении челюсти. Пациентка испытывала постоянные суставные боли. Трансляционное движение челюсти было ограничено 2 мм вместо 10-15

  • Клинический случай 10. Гнатология, эстетика Клинический случай 10. Гнатология, эстетика Клинический случай 10. Гнатология, эстетика Клинический случай 10. Гнатология, эстетика

    Клинический случай 10. Гнатология, эстетика

    Первоначальный запрос пациентки при обращении в AldisDent был сфокусирован на решении косметической задачи по отбеливанию улыбки. При осмотре были диагностированы признаки сильного бруксизма, приведшего к истиранию зубов и способствующего развитию гипертонуса лицевых мышц. В дополнение

  • Клинический случай 11. Гнатология, эстетика Клинический случай 11. Гнатология, эстетика Клинический случай 11. Гнатология, эстетика Клинический случай 11. Гнатология, эстетика

    Клинический случай 11. Гнатология, эстетика

    Обычная для стоматологического центра АлдисДент задача: восстановить высоту прикуса, устранить последствия стираемости зубов, сформировать множественный точечный окклюзионный контакт, чтобы расслабить жевательные и мимические мышцы, устранить риски развития дисфункции ВНЧС. Единственный (на наш взгляд) способ сделать

  • Клинический случай 12. Гнатология, эстетика Клинический случай 12. Гнатология, эстетика Клинический случай 12. Гнатология, эстетика Клинический случай 12. Гнатология, эстетика

    Клинический случай 12. Гнатология, эстетика

    Это был тот случай, когда пациентка сама пришла к пониманию, что «пора делать зубы». Она не испытывала дискомфорта, состояние еще не дошло до стадии суставных болей, ее не смущали стертые зубы. Но она попросила сделать

  • Клинический случай 13. Гнатология, эстетика Клинический случай 13. Гнатология, эстетика Клинический случай 13. Гнатология, эстетика Клинический случай 13. Гнатология, эстетика

    Клинический случай 13. Гнатология, эстетика

    Стертость зубов, их частичная потеря, множественные пломбы, «занижение» прикуса – с таким набором проблем пациентка обратилась в AldisDent. Была проведена полная функциональная диагностика, которая включала в себя мышечный анализ, диагностику скелетных данных, аксиографическое исследование и