Гнатологический подход в эстетической стоматологии
Интервью с главным врачом клиники AldisDent В.Л. Битно
Вячеслав Леонидович, в наших интервью на тему имплантации и протезирования зубов периодически звучит словосочетание «гнатологический подход». Я попрошу сейчас насколько возможно проще и доступнее для неспециалистов объяснить, что означает это понятие и чем занимается гнатолог?
Тема очень глубокая. Попытка ее упростить создает риски неверного толкования или ошибочных оценок. Я могу сейчас на одном примере показать, что такое гнатологический подход в стоматологической реабилитации, но предупрежу сразу – это не будет полное раскрытие темы, просто один фрагмент работы гнатолога.
Итак…
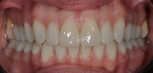
Приходит пациентка с запросом на эстетическую коррекцию. Мы наблюдаем стертые зубы, большое количество пломб, пигментацию эмали. Это то, как видит проблему сама пациентка, и примерно также видит ее врач-ортопед, не имеющий гнатологического образования.
Что же сверх вышесказанного видит гнатолог? Нарушение центральной линии прикуса (нижняя челюсть сдвинута вправо), снижение прикуса, особенно в области жевательных зубов.

Заниженный прикус может быть или следствием стертости зубов из-за бруксизма, или результатом того, что в подростковом возрасте зубы «недопрорезались». Состояние зубочелюстной системы указывает на высокую вероятность наличия у пациентки проблем с ВНЧС, хотя она еще их не чувствует.
Понятно, что визуально по прикусу мы еще не можем диагностировать проблемы с суставами. Другим источником информации для врача становится панорамный снимок.

В дополнение к смещению нижней челюсти гнатолог увидит на этом снимке отклонение от нормы в положении челюстных суставов.
Но и эта информация еще не может считаться точной, потому что снимок плоский. Хотя различие в суставах слева и справа явно указывает на то, что проблема с ВНЧС все-таки существует.
Мне кажется, хороший ортопед даже без гнатологического образования обратит на это внимание – и на смещение прикуса, и на несимметричность суставов?
Верно. Это может увидеть любой внимательный стоматолог. Но что он будет делать с этой информацией дальше?
Ответственный ортопед, увидев такую картину, по идее, должен рекомендовать пациенту сначала обратиться к гнатологу (хотя это, конечно же, в ущерб коммерческим интересам врача, поскольку в таком случае у него откладывается или срывается потенциальная работа). Потому что протезировать на неправильный прикус – это фактически означает сознательно навредить пациенту.
Поэтому некоторые предпочтут просто не увидеть…
В реальности хороших и ответственных врачей намного больше, чем безответственных, но с проблемами ВНЧС на текущий момент действительно мало куда можно обратиться. Специалистов с гнатологическим образованием и хорошим практическим опытом мало, и они обычно работают в связке со своими ортопедами или сами занимаются ортопедией.
Да и решение проблем с ВНЧС стоит, мягко говоря, недешево, поэтому многие пациенты сами откажутся их решать, особенно, если ничего не беспокоит.
Хорошо, как с этой проблемой будет работать ортопед с гнатологическим подходом?
Гнатолог проведет инструментальную диагностику. В нашей клинике это аксиография, которая уже точно в цифрах и графиках покажет отклонения.

Результаты аксиографического исследования подтверждают предварительный анализ панорамного снимка: характер движения суставов демонстрируют асимметрию и артрозные явления. Для кого-то это не является серьезной проблемой (до определенного момента), но у этой пациентки проблема уже есть – в левом суставе имеется подвывих (щелчок), и мы это видим на графике.
Аксиография подтверждает наличие проблемы, которую мы предположили при визуальном осмотре и увидели на панорамном снимке. Но первым двум источникам мы еще не могли доверять в полной мере, аксиографии доверяем полностью.
Перед тем, как сделать репозицию челюсти, мы делаем боковую телерентгенограмму, на которой проводим антропометрические измерения, опираясь на множество научных исследований и накопленный мировой опыт в этой области.

Когда мы имеет такую точную информацию и о движении челюсти, и о скелетных ориентирах, то хорошо понимаем, как можно исправить отклонения. Мы делаем репозицию челюсти на модели в вариаторе. Основываясь на полученных данных, мы можем это сделать максимально точно.
Далее с помощью капы адаптируем человека к новому положению челюсти. Уже на этом этапе мы исправляем центральную линию и декомпрессируем суставы, ставим их в правильную позицию.
На финальной стадии мы закрепляем новое положение челюсти супертонкими винирами и накладками. Толщина этих конструкций может быть от 0,2 мм. Это винир, который покрывает зуб полностью или частично с минимальным вмешательством, но уже с правильно расположенными буграми, выстроенной окклюзией.
В результате: восстановлена высота прикуса, выравнена центральная линия, восстановлена правильная работа ВНЧС, выстроен множественный точечный контакт между зубами, что в конечном итоге нормализует тонус жевательных и лицевых мышц. Одновременно с улучшением жевательной функции получен высокий эстетический эффект.

Задача, с которой пациентка обратилась в клинику, решена. Но эстетика здесь – не просто «косметическое» прикрытие недостатков зубного ряда. Это – полная стоматологическая реабилитация, одним из эффектов которой является изменение в лучшую сторону внешнего вида человека. В подтверждении моих слов могу показать большое количество фотографий, как выглядят лица людей «до» и «после». Иногда трудно поверить, что такие изменения произошли не в результате пластической операции, а всего лишь после восстановления правильного прикуса (Примеры).
Но еще раз хочу подчеркнуть: тема гнатологического подхода здесь раскрыта только на малую толику, это небольшой штрих, упрощенная схема работы на одном из примеров.
Интервью провел А.Жикин